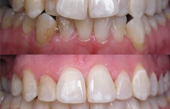
Carla M.
Dr. Porcaro was terrific making me feel at ease during my recent visit for a filling. Also, my regular cleaning visits are great and there is little to no wait. The staff is friendly and always remember each patient. They do their best to make you feel comfortable the entire visit.
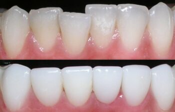
Sharon
Dr. Porcaro is wonderful to work with. She really cares about her work and me! She is very knowledgeable, polite, and professional. I would highly recommend Grateful Dental.
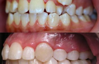
Stephen
I was worried trying out a new dentist! All my worries were completely alleviated as my experience at Grateful Dental was great. Very happy to have found Grateful Dental in Marietta.